跳至主要內容
關於雙子星
診所理念
醫師陣容
診所環境
隱適美
隱適美介紹
隱適美
隱適美價格
植牙
植牙介紹
植牙價格
植牙過程
全瓷冠
全瓷冠介紹
全瓷冠價格
一般牙科
最新消息
案例分享
隱適美案例
植牙案例
全瓷冠案例
全瓷貼片案例
預約諮詢
撥打預約專線
關於雙子星
診所理念
醫師陣容
診所環境
隱適美
隱適美介紹
隱適美
隱適美價格
植牙
植牙介紹
植牙價格
植牙過程
全瓷冠
全瓷冠介紹
全瓷冠價格
一般牙科
最新消息
案例分享
隱適美案例
植牙案例
全瓷冠案例
全瓷貼片案例
預約諮詢
撥打預約專線
選單
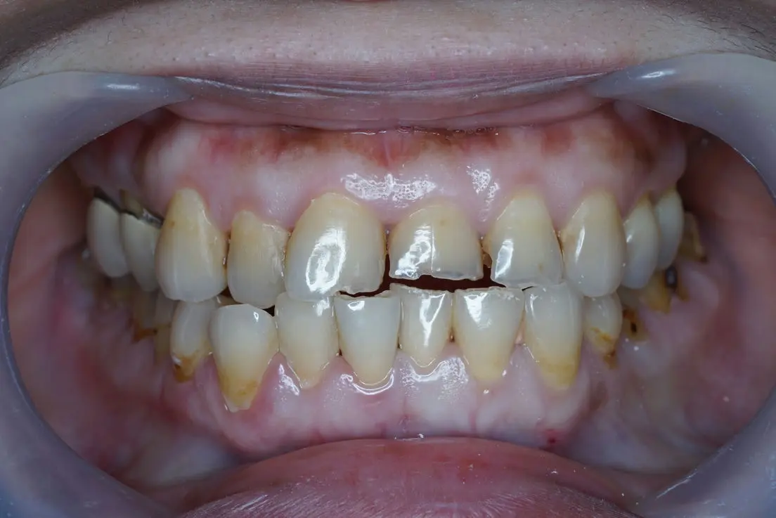
全瓷貼片案例1
Before
After